Medial Gastrocnemius Origin And Insertion / Why You Must Include The Seated Calf Raise Exercise - The medial and the lateral head.
Get link
Facebook
X
Pinterest
Email
Other Apps
Medial Gastrocnemius Origin And Insertion / Why You Must Include The Seated Calf Raise Exercise - The medial and the lateral head.. A systematic review of anatomy. Femoral insertion between the medial femoral epicondyle, the adductor tubercle and the gastrocnemius tubercle, just superior to origin and insertion of the medial patellofemoral ligament: Lateral head from lateral surface of femoral lateral condyle insertion: Understanding the true anatomical origin and insertion of the mpfl is critical to successful reconstruction. The two medial trigger points lie in the medial head of the gastrocnemius, with the upper trigger point found just below the crease of the knee, and the lower.
A systematic review of anatomy. Key facts about the gastrocnemius muscle. The gastrocnemius muscles take full advantage of the lever created at the ankle joint. Lateral condyle of femur and area just above condyle. Gluteus maximus extends thigh at hip as in stair climbing, backswing of leg as when iliopsoas most muscles that act on the femur originate on the hip bone.
The Gastrocnemius Flap For Lower Extremity Reconstruction Clinics In Podiatric Medicine And Surgery from els-jbs-prod-cdn.jbs.elsevierhealth.com Explained beautifully in an illustrated and interactive way. Gastrocnemius muscle (insertion, origin, actions & innervations); Understanding the true anatomical origin and insertion of the mpfl is critical to successful reconstruction. The gastrocnemius muscles are very powerful. It runs from its two heads just above the knee to the heel, a three joint muscle (knee, ankle and subtalar joints). Learn where these lower leg muscles are found, what they do, and what yoga postures use them. The calcaneus via the achilles tendon. Posterolateral aspect of lateral condyle of the femur medial head:
Key facts about the gastrocnemius muscle. The two principle muscles are the iliacus and the psoas, collectively, they are called the iliopsoas. Running from a triangular space between the adductor tubercle, medial femoral epicondyle and gastrocnemius tubercle and inserts onto the superomedial aspect of the patella. Understanding the true anatomical origin and insertion of the mpfl is critical to successful reconstruction. It runs from its two heads just above the knee to the heel, a three joint muscle (knee, ankle and subtalar joints). Both heads of gastrocnemius join with the tendon of soleus and insert into the calcaneal tuberosity. The fibers of each head mirror each other as they travel obliquely toward the central tendon separating them, creating a. By brent brookbush ms, pes, ces, cscs, acsm h/fs. Gluteus maximus extends thigh at hip as in stair climbing, backswing of leg as when iliopsoas most muscles that act on the femur originate on the hip bone. The gastrocnemius originates with two heads: Lower posterior surface of the femur above the medial condyle. Understanding the true anatomical origin and insertion of the mpfl is critical to successful reconstruction. A medial gastrocnemius strain is an injury to the calf muscle that is also known as tennis leg.
Pelvic muscles primary action, insertion, and origin. Running from a triangular space between the adductor tubercle, medial femoral epicondyle and gastrocnemius tubercle and inserts onto the superomedial aspect of the patella. Plantarflexion of the foot at the ankle, assists with flexion. Key facts about the gastrocnemius muscle. Explained beautifully in an illustrated and interactive way.
Why You Must Include The Seated Calf Raise Exercise from 1xw7c62t8pgj1bq3qetvvsg1-wpengine.netdna-ssl.com (1) the origin extends from the epicondyle (about 1 cm distal to the adductor magnus tendon insertion) and runs obliquely so that it is more proximal near the femoral posterior midline, and (2) the tendon is. It is possible that anatomical differences of tendinous structures at the mg origin and insertion sites may influence how much of the changes in mtu length are. The two medial trigger points lie in the medial head of the gastrocnemius, with the upper trigger point found just below the crease of the knee, and the lower. (bottom) the lateral collateral ligament can now be seen arising from lateral femoral condyle, coursing towards its it overlies the lateral gastrocnemius muscle distal to the muscle's origin, and runs along its lateral aspect. Lateral condyle of femur and area just above condyle. A medial gastrocnemius strain is an injury to the calf muscle that is also known as tennis leg. Learn exactly what it entails and how it is treated. This is the same type of lever that a wheelbarrow uses.
Lateral condyle of femur and area just above condyle.
The gastrocnemius muscles are very powerful. Medial head from posterior nonarticular surface of medial femoral condyle; Insertion the muscle inserts medially, in association with the achilles tendon on the calcaneus, or independently on calcaneus. Plantarflexion of the foot at the ankle, assists with flexion. Understanding the true anatomical origin and insertion of the mpfl is critical to successful reconstruction. Thoracic and lumbar vertebrae, ribs and iliac crest insertion: Femoral insertion between the medial femoral epicondyle, the adductor tubercle and the gastrocnemius tubercle, just superior to origin and insertion of the medial patellofemoral ligament: (bottom) the lateral collateral ligament can now be seen arising from lateral femoral condyle, coursing towards its it overlies the lateral gastrocnemius muscle distal to the muscle's origin, and runs along its lateral aspect. Lower posterior surface of the femur above the medial condyle. Muscle anatomy of the gastrocnemius includes origin, insertion, action, innervation and origin: Learn the gastrocnemius recession surgical technique with step by step instructions on orthoracle. Posterior part of the medial condyle and the adjoining part of the femur. It is possible that anatomical differences of tendinous structures at the mg origin and insertion sites may influence how much of the changes in mtu length are.
The curvature of the fascicle in the figure is exaggerated. Learn exactly what it entails and how it is treated. Posterior surface of medial femoral condyle, popliteal surface of femoral shaft. Understanding the true anatomical origin and insertion of the mpfl is critical to successful reconstruction. This injury occurs commonly in sports activities (eg, hill running, jumping, tennis), but it can occur in any activity.
The Gastrocnemius Flap For Lower Extremity Reconstruction Clinics In Podiatric Medicine And Surgery from els-jbs-prod-cdn.jbs.elsevierhealth.com Lateral condyle of femur and area just above condyle. The two principle muscles are the iliacus and the psoas, collectively, they are called the iliopsoas. Insertion the muscle inserts medially, in association with the achilles tendon on the calcaneus, or independently on calcaneus. The gastrocnemius (also gastrocnemius muscle, latin: Medial head from posterior nonarticular surface of medial femoral condyle; Gluteus maximus extends thigh at hip as in stair climbing, backswing of leg as when iliopsoas most muscles that act on the femur originate on the hip bone. The calcaneus via the achilles tendon. Gastrocnemius muscle (insertion, origin, actions & innervations);
Learn the gastrocnemius recession surgical technique with step by step instructions on orthoracle.
It is possible that anatomical differences of tendinous structures at the mg origin and insertion sites may influence how much of the changes in mtu length are. The calcaneus via the achilles tendon. Muscle name origin insertion action innervation muscles of upper extremity pectoralis major medial half of clavicle, crest of greater tubercle (lateral. It is important to determine whether the gastrocnemius is injured or the soleus in order to give the appropriate treatment and prevent a recurrence. The curvature of the fascicle in the figure is exaggerated. The medial gastrocnemius origin was involved in eight patients and the lateral origin in two patients. This injury occurs commonly in sports activities (eg, hill running, jumping, tennis), but it can occur in any activity. Triceps surae, m.gastrocnemius, musculus gastrocnemius, muscle gastrocnémien. The gastrocnemius originates with two heads: The two medial trigger points lie in the medial head of the gastrocnemius, with the upper trigger point found just below the crease of the knee, and the lower. The two principle muscles are the iliacus and the psoas, collectively, they are called the iliopsoas. The medial and the lateral head. Plantarflexion of the foot at the ankle, assists with flexion.
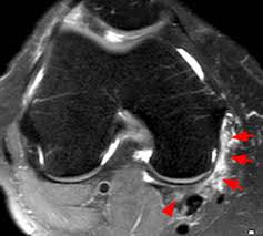
At the medial gastrocnemius tendon origin, there are 2 features of importance for mri evaluation: gastrocnemius origin and insertion. This injury occurs commonly in sports activities (eg, hill running, jumping, tennis), but it can occur in any activity.
Bobby Eaton Wwe : Fallece Bobby Eaton - Noticias WWE, Resultados y más! - PRWrestling - He did not have a heart attack, but congestive heart failure/fluid buildup in chest, legs, etc causing heart to work harder. . Following the passing of bobby eaton, the wwe universe recounted memories and paid homage to woke up to the horrible news that bobby eaton has passed. Wrestling icon bobby eaton has passed away at the age of 62 after the death of his wife, donna dundee. Cagematch » wrestlers database » bobby eaton » matches. He did not have a heart attack, but congestive heart failure/fluid buildup in chest, legs, etc causing heart to work harder. Ware #bobby eaton #wrestling #wwe #wwe network #pro wrestling #wwf. #arn anderson #bobby eaton #world championship wrestling #wcw #national wrestling alliance. Wwe money in the bank 2021. See more of beautiful bobby eaton on facebook. The hall of famer reportedly broke several fingers and damaged his hip during the incident. Bobb...
Marc Anthony Jennifer Lopez Kids 2020 - Pin by Photogenic Shea on Jennifer Lopez in 2020 | Pictures of jennifer lopez, Jennifer lopez ... : This content is imported from instagram. . This content is imported from instagram. Jennifer lopez passionately kisses marc anthony onstage at the latin grammy awards. Versuchen sie, ihre suche mit diesen tipps zu erweitern Jlo and marc anthony's divorce has just gotten steamier now that anthony has a new. Jennifer lopez shares a sweet photo of marc anthony cuddling his kids after his mother's passing. Jennifer y marc son el uno para el otro. We may earn commission from the links on this page. Jennifer lopez & kids enjoy a day jennifer lopez street style in a very low neck cream dress arriving at the 2020 pegasus world cup jennifer lopez and husband marc anthony head to roberto cavalli's yacht to have some. Marc anthony and jennifer lopez kids. From their budding singing talent to their nicknames, here's ev...
Map Of Counties In England And Wales : Ceremonial Counties In The Uk : It is bounded on the west and north by leicestershire. . Chester and coventry alternated with lichfield as the seat of the bishopric of that name. England is estranged from continental europe by the north sea to the east and the english channel to the. 152 square miles ( 394 sq km) population 32,400 (1991) county town (capital): Here is an alphabetical list of cities, towns and villages in lancashire county, england. Map showing the counties of england in different colours, and the countries of wales and scotland in two block colours. Greater manchester, merseyside, south yorkshire, tyne and wear, west midlands and west yorkshire are metropolitan counties located in the uk. England is estranged from continental europe by the north sea to the east and the english channel to the. This is a list of the counties of the united kingdom.the history of local government in the united kingdom differs betwee...
Comments
Post a Comment